Bletta_rennt

Berger des Pyrénées 

du Mourioche

Bletta rennt richtig

Home

News

Über uns

Rasseinfos

Bletta de Kliandie

Welpen

Ausstellungen

Agility

Hüten

Videos

Galerie

Kontakt

Gästebuch

Links

News ab dem 27.03.2008

26.03.2008


Die spannende, ereignisreiche Zeit der Welpenaufzucht ist zu Ende und die Kleinen sind bei ihren neuen Familien eingezogen. Viel hat sich geändert: Anor heißt jetzt "Tamy" und wohnt in Bielefeld, Asea macht Tönisvorst unsicher, Arda wird in Merzig "M" gerufen und Aldea erkundet als "Patty" die bayerische Landeshauptstadt.

Alle vier haben den Umzug gut überstanden und fühlen sich in der neuen Umgebung schon Berger-wohl.

Vielen Dank an alle, die mich bei der Aufzucht und Sozialisierung unterstützt haben und immer ein offenes Ohr für mich hatten.
Den neuen Besitzern wünsche ich viel Spaß und Freude und eine lange gemeinsame Zeit mit ihrem neuen Familienmitglied. 




DSC_0413.JPG

Aldea erkundet die Welt

Lady in bed (oder bed???)

Asea knüpft Kontakte auf Berger-Art

10.02.2008

Videos!!

--> hier:

Laufübungen

Schwanzwackeln

Das große Krabbeln

Harlekinaden

Paartanz

Und natürlich wie immer viele Fotos unter Welpen.

02.02.2008

In der Galerie sind viele neue Fotos!

26.01.2008

Erstens kommt es anders...

Wochenlang habe ich schlaue Bücher gewälzt, Fragen über Fragen gestellt, mich auf alles vorbereitet - und dann kam alles ganz anders.

Blettas Temperatur  war gestern Abend schon abgefallen, gefressen hat sie auch nicht mehr so richtig. Beides Anzeichen, die darauf hindeuten, daß die Geburt nicht mehr allzu lange auf sich warten läßt. Obwohl ihr Verhalten noch völlig unauffällig war - kein Scharren, keine Unruhe, kein Hecheln - bezog ich also mein Nachtquartier im Wohnzimmer, um bloß nichts zu verpassen.

Guter Plan!

Bletta ist gegen Mitternacht immer noch völlig entspannt, selig schlafe ich ein und freue mich auf den nächsten Morgen, an dem dann wohl die Geburt stattfinden wird.

So gegen halb vier wundere ich mich, warum Bletta sich so leckt. Und leckt. Und leckt. Und schmatzt. Schmatzt? Das kommt mir doch merkwürdig vor und ich mache das Licht an. Was hängt ihr denn da aus der Schnauze? Ich reibe mir den Schlaf aus den Augen und sehe genauer hin: Da liegen doch tatsächlich drei Welpen, quietschfidel und schon am Trinken! Aus Blettas Schnauze hängt der Rest der Fruchthülle des dritten Welpen, das Lecken und Schmatzen waren die Geräusche beim Abnabeln und Säubern. Bletta hat tatsächlich bis hierhin alles komplett alleine gemacht - nur 50 Zentimeter von mir entfernt und doch, ohne daß ich etwas mitbekommen habe.

Eine Stunde später kommt der vierte Welpe - ebenfalls völlig unspektakulär. Obwohl Carsten und ich daneben sitzen, bemerken wir die eigentliche Austreibung nicht. Ich wundere mich nur, was da auf einmal Nasses unter Blettas Rute liegt, da kümmert sie sich auch schon um ihren letzten Welpen. 

Bletta hatte für die Geburt ihr Körbchen der Wurfkiste vorgezogen, doch nachdem alles vollbracht war, haben wir Mutter und Welpen umgesiedelt. Nur mit Mühe können wir sie jetzt noch davon überzeugen, die Kiste wenigstens kurzzeitig zu verlassen um sich zu lösen. Essen und Trinken bekommt die Dame heute in ihrem Lager serviert, sicherlich wird sich das in den nächsten Tagen ändern.

Alle Informationen über die Welpen finden Sie unter unserem neuen "Welpen"-Menüpunkt, in der Galerie sind zusätzlich viele neue Bilder.


 






Körbchengeburt

sie kümmert sich

er kümmert sich

vier...

... bunt durcheinander gewürfelt

 

 






20.01.2008

Endspurt!  

Alles ist vorbereitet, Bletta sucht zwischendurch selbständig die Wurfkiste auf, die schlauen Bücher liegen griffbereit - die letzte Woche bricht an. Bis zum errechneten Termin sind es zwar noch einige Tage, aber mit den Vorbereitungen kann man sich prima die Wartezeit vertreiben...

Eigentlich wollte ich heute beim Spazieren gehen noch ein paar schöne Fotos machen, mir hatte vorgeschwebt, Bletta steht auf der Wiese und läßt ihren Blick über die Höhen des Teutoburger Waldes schweifen - na ja, Bletta war da, Wiese auch, leider goß es in Strömen. Und da es bei Hunden wohl keinen Wettbewerb á la "Miss Wet T-Shirt" gibt und mein Fotoapparat auch nicht Tiefsee-tauglich ist, haben wir die Foto-Session doch nach drinnen verlegt. Wenigstens kann man ihre Plautze jetzt deutlich erkennen. Ich finde es sehr beneidenswert, wie leichtfüßig sie trotz ihres Umfanges noch unterwegs ist - wenn ich dran denke, wie ich kurz vor der Geburt meiner Kinder rumgewatschelt bin... Und ich mußte jeweils nur EINS mit mir rumtragen!

Die letzten Tage nutzen die Zwerge, um zu wachsen und ihre Energiereserven für die Geburt und die erste Zeit danach aufzufüllen. Bletta ist mittlerweile sehr anhänglich und hätte bitteschön gerne rund-um-die-Uhr Beachtung - wie Schwangere halt so sind...

 

 

 

ohne Kommentar

ohne Kommentar

Madame ruht.

Puuh.

13.01.2008

Nur noch zwei Wochen! 

Blettas Bauch wächst und wächst und wächst. Gestern konnte ich das erste Mal spüren, wie sich die Welpen bewegen - hat mir doch glatt einer in die die Hand getreten! Fast, als wenn er mir sagen wollte "Hallo, hier bin ich!". Ein unglaubliches, unbeschreibliches Gefühl.

Rechts auf dem oberen Foto ist Bletta heute zu sehen, darunter zum Vergleich im "Normalzustand" mit sportlich-schnittiger Figur. Das Fell kaschiert zwar (noch) viel, aber trotzdem ist ihr tonnenförmiger Zustand zu erkennen.

Heute haben wir die Wurfkiste, die wir im letzten Frühjahr so traurig im Keller verstaut haben, hoffnungsvoll wieder hervorgeholt. Bletta soll jetzt schon die Gelegenheit bekommen, sich an die Kiste zu gewöhnen und die anderen Hunde und unser kleiner Sohn müssen lernen, daß dieser Bereich des Wohnzimmers erstmal tabu für sie ist.

Bletta, eigentlich als Sprinter veranlagt, zeigt sich bei den Spaziergängen mittlerweile eher als Jogger, mal sehen, ob sie bis zur Geburt noch zum Walker mutiert. Auch zu Hause sucht sie verstärkt unsere Nähe und ja - auf's Sofa darf sie jetzt auch. Wer so einen dicken Bauch durch die Gegend tragen muß, darf sich auch mal ein bißchen verwöhnen lassen... Zum Ruhen legt sie sich fast nur noch auf die Seite, die normale Bauchlage ist wohl zu unbequem geworden.

Die Zwerge sind jetzt fast vollständig behaart, ihre Krallen sind schon ausgebildet und eigentlich müssen sie nur noch wachsen. Bald wissen wir, ob aus Blettas Punkten und Touffies Streifen tatsächlich karierte Welpen werden...








Bletta, schwanger, steht schön

Bletta, nicht schwanger, steht schön

Erste Wohnungsbesichtigung

Warten auf die Welpen

Bletta und Pink

03.01.2008

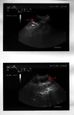
Fast drei Wochen sind seit dem ersten Ultraschall-Termin verstrichen und es läßt mir keine Ruhe - ist noch alles in Ordnung? Zu frisch ist noch meine Erinnerung, als wir die Wurfkiste schon aufgebaut hatten und dann doch keine Welpen kamen. Um meine Nachtruhe (und den Hausfrieden...) zu retten, waren wir heute erneut zum Ultraschall. Ich mochte ja kaum dran glauben - soll dieses Mal wirklich alles gut gehen? Bletta wird immer dicker, obwohl ihre Futterration sich nicht verändert hat, sie hat auch schon zugenommen. Der Ultraschall zeigt deutlich den Grund: Vier Welpen sind sofort zu erkennen, und es sieht aus, als winkten sie uns zu, so sehr zappeln sie herum. Der Berger ist halt keine ruhige Rasse, offensichtlich von Anfang an...

Die ersten beiden Drittel sind schon fast vorbei, jetzt geht's für die Zwerge ans Wachsen.


Blettas Bauch

Ultraschall vom 03.01.2008

28.12.2007

Halbzeit!

Heute ist der 32. von voraussichtlich ca. 63 Tagen der Trächtigkeit verstrichen. Es ist kaum zu glauben, wie schnell die Zeit vergeht - und doch fällt das Warten schwer... Aber was soll's, die Natur braucht ihre Zeit und 9 Wochen müssen wir aushalten. 

Die Welpchen sind noch schwer damit beschäftigt, Organe zu bilden, doch obwohl das eigentliche Größenwachstum erst im letzten Drittel der Trächtigkeit einsetzen wird, ist bei Bletta bereits ein deutlicher Bauch erkennbar. Besonders, wenn man ihr über die Seite streicht, wird klar - die Twiggy-Taille ist erstmal passé... Auch die Zitzen bereiten sich langsam aber sicher auf ihre Aufgabe vor und schwellen deutlich an.

Bletta hüpft auch nicht mehr ganz so unbekümmert in der Gegend herum wie sonst - weiß sie, daß ihre "Kinder" auf ihre Vorsicht angewiesen sind? Stufen, die sie normalerweise mit einem Satz überspringt, werden jetzt einzeln genommen und auch beim Futter zubereiten springt sie mir nicht mehr bis auf Augenhöhe, sondern nur noch bis zum Bauchnabel. Das heißt aber nicht, daß sie beim Spaziergang auf ihre Tobeattacken mit Bonny verzichtet! Zu Hause dagegen zeigt sie sich deutlich anhänglicher als sonst - und überhaupt - seit wann dürfen unsere Hunde aufs Sofa?????????


Sofabletta

17.12.2007

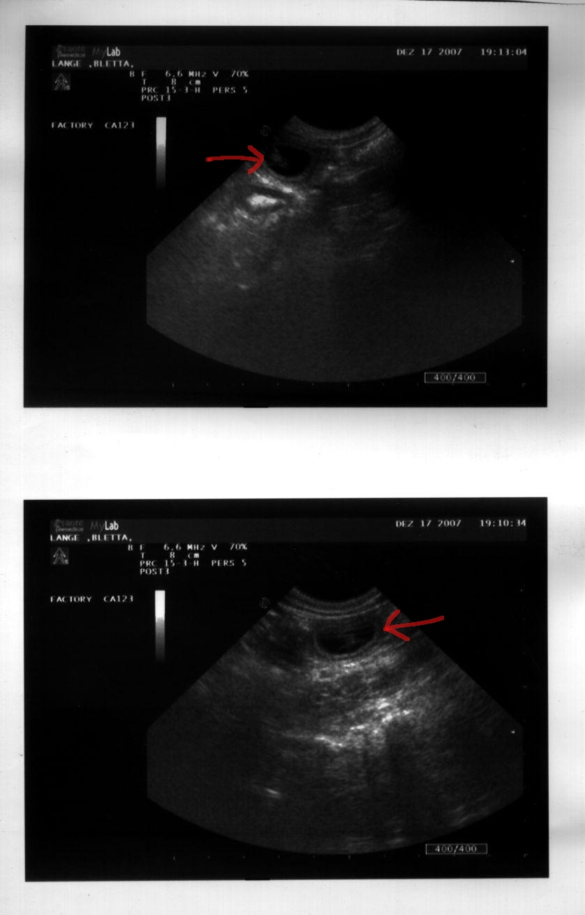
Die ersten drei Wochen seit Blettas Rendez-Vous mit Touffie sind um, und wir haben einen Termin beim Tierarzt. Die Spannung ist groß - war der Besuch in Heiligenhaus erfolgreich?

Und tatsächlich sehen wir auf dem Ultraschall deutlich mehrere Welpen - Bletta ist trächtig!

Jetzt beginnt die Zeit, zu der sich die Welpen in der Gebärmutter einnisten und ihre Organe ausbilden. Bletta läßt sich noch nichts weiter anmerken, aber wenn sie auf dem Rücken liegt, ist ihr Bauch schon nicht mehr so flach wie vorher. Wir sind sehr zuversichtlich, daß dieses Mal alles gut gehen wird.

Am 9. Dezember ist Bonny auf der deutschen Agility-Meisterschaft des VDH gestartet. Praktischerweise fand das Ganze in Herford statt, also quasi vor unserer Haustür. Bonny erreichte von 83 Large-Hunden immerhin den 15. Platz - eine tolle Leistung!

Das Ultraschallbild vom 17.12.2007


25.-26.11.2007

Endlich! Blettas Hitze, die eigentlich schon im Sommer fällig gewesen wäre, hat eingesetzt! Am 25. und 26. November besuchten wir dann Touffie (Tour-Figeac vom Wunderhorn) im Besitz von Familie Paech. Bletta und Touffie sind schon alte Bekannte, schließlich haben wir ja im Juli anläßlich des Silvia Trkman Seminares eine Woche bei Paechs gewohnt. Bletta baggerte Touffie dann auch gleich wie wild an (es drängt sich ein Ausdruck dafür auf, den ich hier nicht wiedergeben möchte...), so daß es kam, wie es kommen mußte. Wir hoffen jetzt sehr, daß wir guter Hoffnung sind und dieses Mal die Natur so mitspielt, wie wir es gerne hätten. Sollte alles planmäßig verlaufen - wovon ich erst mal ausgehe - erwarten wir Ende Januar Welpen. Jetzt beginnt also die Zeit des Wartens und Hoffens!



Der Bräutigam


Touffie nimmt mal eine Nase voll.


Der Touffie




05.-07.10.2007

In Kassel fand an diesem Wochenende der zweite Auebad-Cup, durchgeführt vom Verein Mensch und Hund, statt. Dieses Turnier ist wohl einzigartig in Deutschland, findet es doch auf dem Gelände des Auebades statt  - ein großes Freibad in Kassel, in direkter Nähe zur Fulda. Wer sagt denn, daß man in Freibädern nur schwimmen kann? Die große Wiese eignet sich prima als Parcoursfeld, für Wohnmobile und Zelte gibt es genug Platz und auf der Brücke am Rand des Geländes finden sich schnell jede Menge begeisterte Zuschauer ein. Sie sorgen für Stimmung, beklatschen die rasanten Läufe und amüsieren sich über die mißlungenen - wer den Schaden hat, braucht ja bekanntlich für den Spott nicht zu sorgen... Daß das Wetter auch noch mitspielte und es am ganzen Wochenende trocken und ab Mittag sonnig war, half natürlich ungemein - Agility is fun, aber im strömenden Regen fällt es doch schwerer, das Spaßgefühl herbeizurufen. Auch die Spaziergänge in den Fuldaauen machen bei Sonnenschein deutlich mehr Spaß!

Freitag Abend ging es mit einem Flutlicht-Cup los, ein reines Fun-Turnier ohne offiziellen Richter und ohne Eintrag in die Leistungskarte. Bletta erreichte hier schon den zweiten Platz. Insgesamt erreichte ich mit Bonny und Bletta am Wochenende fünf (!) Platzierungen und bis auf ein Dis von Bletta erzielte ich in allen Läufen ein Vorzüglich! Bonny wurde über beide Tage (Samstag und Sonntag) Gesamtsieger und wurde erster Auebad-Cup-Gewinner bei den Large.

Ich freue mich umso mehr über das erfolgreiche Wochenende, weil auf den letzten Turnieren das Glück nicht so richtig auf meiner Seite war. Ich muß mich noch sehr daran gewöhnen, mit beiden Hunden den gleichen Parcous zu laufen, ich führe sie recht unterschiedlich - jeder hat seine eigenen Stärken und Schwächen... Aber so ist es halt im Agility - immer, wenn ich für mich überlege, daß Hallen-Halma bestimmt auch ganz nett ist (wetterunabhängig, keine Schlepperei nicht so ein Gerenne...), kommt wieder ein Erfolg, der mir zeigt, daß doch nicht alles soooo falsch ist, was ich mache...

Und dann noch die netten Menschen, die man kennenlernt! Viele liebe Grüße an dieser Stelle an Horst und Martina, die ich vor vielen Jahren in Lage kennengelernt habe und mit denen wir in Kassel zwei ausgesprochen unterhaltsame Abende verbracht haben (Schlehenlikör ist was Feines!). Ebenfalls viele Grüße an Anne mit ihren Malis und Ryanne, meine Teampartnerin im Spiel - endlich sieht man mal wieder einen Deutschen Schäferhund mit Spaß an der Arbeit! Nicht zu vergessen Michaela, die den Auebad-Cup ins Leben gerufen hat - auf die Idee mit dem Freibad muß erst mal jemand kommen, aber für eine Bademeisterin liegt der Gedanke natürlich nahe...

Bonny hat auf der dhv-DM übrigens im A-Lauf ein Dis gehabt (na ja, eigentlich mehrere, aber nach dem ersten interessiert es keinen mehr), dafür aber in einem kniffeligen Jumping ein V (mit einem Stangenabwurf) nach Hause gebracht. Wir sind jetzt qualifiziert für die VDH-DM, die im Dezember stattfinden wird.

Blettas Läufigkeit, die im Juli fällig gewesen wäre, läßt nach wie vor auf sich warten, eine Blutuntersuchung hat eine Hormonstörung ergeben - evtl. ausgelöst durch die abgebrochene Trächtigkeit Anfang des Jahres. Wir haben sie darauf behandelt und hoffen, daß jetzt alles wieder im Lot ist. Falls die Behandlung erfolgreich war, sollte die Hitze in den nächsten Wochen einsetzen. Wir warten erst mal ab...



Rasanter Teamstart


Der Auebad-Cup

Bletta fliegt

Bonny vor der Mauer

Martina und Geisha


15.07.2007

Wir haben es geschafft!!! Bei etwa 35 Grad Hitze (im Schatten!) haben Bletta und ich heute in Holzminden den Aufstieg in die A3 erreicht. Mit einem Null-Fehler Lauf und ausgiebig "geparkten" Kontaktzonen - bloß keine Hektik bei dem Wetter... - platzierten wir uns auf Rang Drei und haben somit den dritten fehlerfreien Lauf mit Platzierung geschafft. 

Bonny lief in der A3 auf den zweiten Platz und hat nun die Qualis für die VDH-DM beisammen - so sich denn ein Ausrichter findet.

Nach wochenlanger Kälteperiode und Dauerregen macht die plötzliche Hitze Mensch und Hund doch sehr zu schaffen. Umso stolzer bin ich auf meine beiden "Mädels", daß sie so tapfer durchgehalten haben. Ich selber war am Nachmittag völlig groggy, was man an den Jumpingläufen auch gemerkt hat - aber egal!






23.06.2007

Am 17. Juni fand in Unna die DVG-Bundessiegerprüfung statt. Obwohl Bonny erst im August letzten Jahres in die A3 aufgestiegen ist und zwischen Oktober und April nur auf einem Turnier gestartet ist, hat sie die Qualifikation zur Teilnahme erreicht. Bundessieger sind wir nun nicht geworden - noch nicht mal annähernd, was mich nicht wirklich überrascht, aber der olympische Gedanke zählt ja bekanntlich - trotzdem haben wir durch unsere Teilnahme und im Vorfeld erreichte Platzierungen eine Fahrkarte zur dhv-DM in Thanheim sicher. Ich hoffe,daß wir bis September unser derzeitiges Formtief überwunden haben, unsere letzten Turniere haben meistens mit einem Dis geendet, da mein Timing nicht gepaßt hat. Zwei so unterschiedliche Hunde zu führen, ist nicht so einfach, zum Glück ist Bonny das Ergebnis egal - Hauptsache, im Ziel gibt's lecker Wurst...

Bletta läuft konstant V's, wegen des suboptimalen Timings meinerseits haben wir jedoch immer eine Verweigerung, zum Aufstieg brauchen wir einen Null-Fehler Lauf. Was soll's, wenn die Zeit reif ist, wird es schon klappen!

In der Galerie sind neue Bilder vom cbp-Turnier im April, vielen Dank an Jan Kehrl, der mir die Fotos zu Verfügung gestellt hat!


Bonny auf der Kontaktzone

Bonny gibt Gas


Bletta hüpft schon wieder


04.05.2007

Jedes Jahr am ersten Maiwochenende findet in Dortmund die Europasieger-Zuchtschau statt. In 2006 habe ich Bletta dort in der Jugendklasse vorgestellt, sie erhielt ein SG (sehr gut) und den zweiten Platz. Heute nahm Bletta dort das erste Mal an der offenen Klasse teil. Ich machte mir nicht wirklich große Hoffnungen, die Klasse war mit 8 Hündinnen, von denen mir einige schon bekannt waren, besetzt. Tatsächlich erhielten alle Hündinnen ein V (vorzüglich), ein Zeichen für die hohe Qualität der Teilnehmer. Bletta wurde gleich als erstes bewertet, sie präsentierte sich wie gewohnt gut gelaunt und selbstbewußt. Langsam traben findet sie eher langeweilig, sie guckt mich immer an, als wenn sie sagen wollte "Los Alte, komm in den Quark", aber wenn's denn sein muß... Die Zeit, in der die anderen bewertet werden, nutzt sie für ein Nickerchen - passiert ja eh nix. Trotzdem ist sie sofort hellwach, wenn sie merkt, daß ich was von ihr möchte, ein schönes "Steh" zum Beispiel. Ihre Ausstrahlung überzeugte auch die Richterin Frau Großpietsch, die Bletta mit dem zweiten Platz belohnte! Ich war sehr überrascht und konnte es kaum glauben, meine Freude ist riesig!







29.04. 2007

In Bielefeld fand heute auf dem Gelände des Vereines "Fair Play" die Landesverbandsmeisterschaft Ravensberg-Lippe statt. 

Bonny erreichte im Jumping den 3. Platz, hatte also eigentlich alle Chancen auf eine gute Platzierung in der Kombiwertung (A3 und Jumping), leider kassierten wir in der A3 eine Disqualifikation wegen akuter Unfähigkeit meinerseits. Meine Enttäuschung hielt sich allerdings in Grenzen, zum Einen hatte ich sowieso nicht mit dem Titel "Landesmeister" gerechnet, zum Anderen hatte Bletta vorher die A2 gewonnen - und das bei ihrem ersten Start in der Klasse! Bletta hat bei allen bisher gelaufenen Turnieren ( jetzt 10 an der Zahl) eine konstante Leistung gezeigt, unser erstes Turnier beendeten wir mit einem SG und zwei Fehlern, einmal wurden wir disqualifiziert, alle anderen Läufe waren Vorzüglich mit höchstens einem Fehler - jedesmal ein Führfehler meinserseits. 

Ich bin mir sicher, daß diese Serie irgendwann zu Ende sein wird, es wird mir schon ein bißchen unheimlich... Aber egal, mit welchem Ergebnis wir ins Ziel kommen - es macht immer Spaß, mit ihr zu laufen!







22.04. 2007

Heute fand in Duisburg das Frühjahrsturnier des cbp statt. Die Agilitygruppe des cbp veranstaltet jährlich zwei Turniere, eins im Frühling, das andere im Herbst. Für Bletta war es das erste Turnier seit Oktober 2006 und ich war sehr gespannt, welche Früchte unser Wintertraining, das ja nach dem Decken für einige Zeit unterbrochen wurde, tragen würde.

Nun - besser hätte es nicht laufen können! Bletta gewann morgens den Jumping, obwohl wir uns durch einen Fehler meinerseits eine Verweigerung einhandelten.

In der A1 hatte ich mich besser auf sie eingestellt und wir kamen mit null Fehlern ins Ziel. Belohnt wurden wir mit dem ersten Platz und dem Aufstieg in die A2!

Bonny erreichte in der A3 den dritten Platz, ebenfalls eine tolle Leistung.

Ich bin sehr stolz auf meine beiden Damen!

 






April 2007

Genug getrauert!

Das war die Überschrift einer E-mail, die mich im April erreichte. Und recht hat er, der Thomas! Der Welpenauslauf ist schon lange abgebaut, Bletta hat ihre Twiggy-Figur wieder, unsere Gedanken kreisen um die nächste Paarungsplanung. Im Sommer in Blettas nächster Hitze wollen wir sie erneut decken lassen und hoffen, daß uns die Natur nicht wieder einen Strich durch die Rechnung machen wird.
Abschließende tierärztliche Untersuchungen haben ergeben, daß Bletta tatsächlich erst aufgenommen hatte. Warum die Trächtigkeit abgebrochen wurde, läßt sich nicht mehr feststellen, krankheitsbedingte Ursachen konnten wir nicht ermitteln. Es sollte wohl nicht sein...
Inzwischen ist Bletta wieder voll im Agility-Training, Anfang April nahm sie in Lübbecke am Fun-Turnier teil, hier gewann sie sowohl die "A1" als auch den Jumping. Die Zeit bis zu Blettas nächster Hitze werden wir uns auf dem ein oder anderen Turnier vertreiben, Bonny ist natürlich immer mit dabei!
Für den 17. Mai (Christi Himmelfahrt) ist wieder ein Spaziergang im Teutoburger Wald für alle Berger-Besitzer und -Freunde geplant, wer mitwandern möchte, kann sich gerne noch mit mir in Verbindung setzen. 

Bonny in Kassel





28.02.2007

Da Bletta immer noch nichts anzusehen war, bin ich heute mit ihr erneut zum Ultraschall gefahren  - tatsächlich stellte sich heraus, daß keine Welpen da sind. Ein Röntgenbild bestätigte den Befund, so daß es derzeit keinerlei Hoffnung auf einen Wurf gibt. Ob Bletta von Beginn an nicht tragend war und der Tierarzt die vorherigen Ultraschallbilder falsch interpretiert hat, oder ob Welpen vorhanden waren, die dann resorbiert wurden, läßt sich nicht mehr feststellen.

Das Hoffen und Bangen der vergangenen sieben Wochen hat nichts genützt, geblieben ist nur unsere große Enttäuschung.

Der Bauch, den ich vor vier Tagen noch stolz verkündet habe, ist wohl doch auf das Futter zurück zu führen. Jetzt ist erst mal Diät und Bewegung angesagt, damit wir im Sommer schlank und rank den nächsten Versuch wagen können.







24.02.2007

Eine ereignisreiche Woche liegt hinter uns - sie begann Sonntag damit, daß sich die diesjährige Grippe bei mir persönlich vorstellte und leider auf einen ungebetenen Besuch blieb. Mehrere Tage mußte ich mit hohem Fieber das Bett hüten. 

Am Donnerstag fand Carsten leider Strolch, unseren graugetigerten Kater, tot auf unserem Grundstück. Strolch hatte sich auf seinen krummen Beinchen tief in unser Herz geschlichen und wir werden ihn nie vergessen. Da Weißpfötchen seinen Freund sehr vermißt hat, haben wir gestern das Tierheim besucht und nun wohnt Ronja bei uns, eine derzeit 6 Monate junge Katze. 

Aber zum Glück gibt es auch gute Neuigkeiten: Bletta trägt endlich Bauch! Ihr Umfang ist innerhalb einer Woche um 2 cm gewachsen - das kann nicht nur am guten Futter liegen! Sie ist jetzt im letzten Drittel der Trächtigkeit, heute ist der 48. Tag, morgen ist die 7. von 9 Wochen beendet. Die Welpen sind jetzt voll ausgebildet und müssen nur noch wachsen - und wachsen - und wachsen...

Damit alles gut vorbereitet ist und wir nicht in letzter Minute in Hektik ausbrechen müssen, haben wir die Wurfkiste im Wohnzimmer aufgestellt und auch schon den 8 qm großen Welpenauslauf eingerichtet. Die Welpen werden natürlich in der ersten Zeit die Kiste noch nicht verlassen, das "Zäunchen" dient aber dazu, die anderen Hunde und besonders Laurin auf Abstand zu halten. Wir wissen ja überhaupt noch nicht, wie Bletta sich verhalten wird, wenn die Welpen geboren sind, und es wäre nicht ungewöhnlich, wenn sie den Raum um die Wurfkiste energisch für sich reserviert. Der blaue Bodenbelag ist eine rutschfeste und wasserdichte Unterlage, zum Einen um unsere Naturholzdielen zu schützen, hauptsächlich aber um den Welpen später das Laufen zu erleichtern - so rutschen sie nicht so leicht weg.

Es sind nur noch 16 Tage bis zum errechneten Geburtstermin!


Ronja

Ronja, gerollt

Welpenauslauf mit Wurfkiste

Welpenauslauf


17.02.2007

Jetzt neu: Videos

(Über Seite "Agility" oder direkt)








14.02.2007

Sooo schön hatte ich es mir vorgestellt, jede Woche zu berichten, was es alles Neues gibt. Blettas Bauch wird zusehends dicker, sie buddelt Wurfhöhlen oder wird immer ruhiger. Und - was passiert? Nichts! Bletta hüpft rum wie ein Floh, tobt über die Felder, daß einem beim Zugucken schlecht wird und ihre Taille ist nach wie vor rank und schlank. Der Tierarzt, der gestern einen Ultraschall bei Bletta gemacht hat, meinte auch, daß sie gar nicht schwanger aussieht. Ich wurde dann doch recht blaß um die Nase, beim "Schallen" stellte sich aber heraus, daß alles in Ordnung ist und planmäßig verläuft. Da der Tierarzt sein Kontaktgel nicht zur Hand hatte und wir uns mit Cremeseife behelfen mußten (Blettas Bauch war noch nie so sauber!), war die Sicht sehr schlecht und er konnte nur zwei Welpen definitv orten, ich gehe aber nach wie vor von drei aus. 

An dieser Stelle möchte ich Herrn Doktor Otto aus Herford ganz herzlich danken, er ist um 22.30 Uhr gestern Abend hier gewesen, weil Digger wegen Problemen mit der Wirbelsäule - er hat Spondylose, nichts Ungewöhnliches für einen Schäferhundmischling in dem Alter - nicht mehr aufstehen konnte. Trotz der nächtlichen Stunde hat er sich zu einem Ultraschall bereit erklärt, um zu kontrollieren, ob bei Bletta alles in Ordnung ist.

Alles in Allem war es ein erfreulicher Abend: Digger kann nach einer Spritze wieder problemlos laufen und bei Bletta verläuft alles nach Plan. Die Freude darüber überwiegt natürlich die Enttäuschung über die fehlenden Neuigkeiten!

Bletta, schwanger, RENNT!

Bletta und Bonny

und zurück

Digger hat's im Kreuz.



02.02.2007

Den Termin zum Ultraschall konnte ich kaum erwarten, mittlerweile war ich mir gar nicht mehr so sicher, daß die Fruchtanlagen (Morula) sich in der Gebärmutter eingenistet haben. An Bletta war kaum eine Veränderung festzustellen, weder schläft sie viel, noch wird sie besonders kuschelig oder mäkelt beim Futter. Einziges Indiz sind nach wie vor die vergrößerten Zitzen. Mit Bonny verträgt sie sich zur Zeit wieder problemlos. Mir war also doch etwas mulmig, als der Tierarzt den Ultraschall ansetzte, doch siehe da: Drei Welpen waren deutlich zu erkennen, natürlich nach wie vor nur als Fruchtblase, aber eindeutig pulsierend, also lebend. Ein tolles Erlebnis! Nur Laurin war enttäuscht - er hatte sich nach der Ankündigung " wir gucken mal, ob Bletta Babies im Bauch hat" wohl etwas Spektakuläreres vorgestellt...

Blettas Zitzen

Nix zu sehn...


29.01.2007

Und schon ist das erste Drittel der Trächtigkeit um - heute ist der 22. von voraussichtlich 63 Tagen. Rein äußerlich ist Bletta außer den vergrößerten Zitzen nichts anzusehen, ihr Verhalten sich aber deutlich verändert. Bonny, eigentlich ihre beste Freundin, wird des öfteren angeknurrt, gelegentlich herrscht echter "Zickenalarm". Draußen beim Spazierengehen ist aber nach wie vor alles in bester Ordnung und beide toben über die Felder.

Gestern haben wir die Wurfkiste gebaut, Laurin hat tatkräftig mitgeholfen. Daß in der Kiste kleine Hundebabies geboren werden sollen, fand er sehr spannend...

Am Freitag haben wir noch mal einen Termin zum Ultraschall, dann kann der Tierarzt schon sehen, wieviele Feten sich eingenistet haben.

Mehr Fotos vom Bau der Wurfkiste und aktuelle Bletta-Bilder finden Sie in unserer Galerie.

Laurin baut die Wurfkiste.

Wurfkiste.


21.01.2007

Sturm und Regen haben Antje Klingelhöfer nicht davon abhalten können, ein schönes Foto von Paul zu machen - vielen Dank! Überhaupt steht bisher die gesamte Trächtigkeit im Zeichen des Sturmes: Das Rendez-vous zwischen Bletta und Paul fand im windumtosten Garten statt, die Fahrt zum Tierarzt am 18.01 für die Ultraschalluntersuchung  (siehe unten) wurde begleitet von Orkan "Kyrill" und auch heute toben wieder Sturmböen ums Haus. Vielleicht liegt es am Wetter, daß Bletta zur Zeit sehr unruhig ist, vielleicht sind es aber doch die Hormone...

Watzlawick P. vom Wunderhorn (Paul)

18.01.2007

Die ersten 11 Tage sind um und ein erster Besuch beim Tierarzt hat es an den Tag gebracht: Bletta hat aufgenommen! Im Ultraschall waren deutlich die Fruchtanlagen zu erkennen. Vermutet hatte ich es allerdings vorher schon: Blettas Zitzen und die Vulva sind erkennbar größer als normal, außerdem benimmt sie sich ziemlich schwanger. Sie hält die anderen Hunde im Haus deutlich auf Abstand und verteidigt einen recht großen Raum um sich herum durch energisches Knurren. Außerdem ist sie viel wachsamer als sonst und schreckt uns abends gelegentlich durch plötzliche Bell-Attacken vom Sofa hoch.

Die Fruchtanlagen (Morula) müssen sich nun in der Gebärmutter einnisten und werden dann über Blettas Kreislauf versorgt. Ab diesem Zeitpunkt spricht man vom Fötus.


Bletta wartet auf die Welpen

8. und 9. 01.2007

Es ist soweit! Bletta besucht am 12. und 13. Tag ihrer Läufigkeit "Paul" (Watzlawick P. vom Wunderhorn), der seinen Pflichten begeistert nachkommt. Insgesamt wird Bletta an zwei Tagen viermal gedeckt. Jetzt ist es natürlich richtig spannend: Hat sie aufgenommen oder nicht? Die Zeit wird es zeigen...

Watzlawick P. vom Wunderhorn

28.12.2006

Bletta ist läufig! Nach abendfüllenden Telefonaten mit Deckrüdenbesitzern, erfahrenen Züchtern, der für uns zuständigen Segmentberaterin des cbp und meinem Tierarzt habe ich mich dazu entschieden, den Decktag per Abstrich bestimmen zu lassen und dann den passenden Deckrüden aufzusuchen. Bis dahin heißt es erst mal warten...

       

Bletta de Kliandie - 25.02.2005